Invisalign Gallery in Palm Beach Gardens

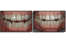
Crooked / Crowded Teeth

Before and After Image of Lerner & Lemongello
Before and After Image of Lerner & Lemongello

Crooked Teeth Crooked Arch

Before and After Image of Lerner & Lemongello
Before and After Image of Lerner & Lemongello

Crooked Teeth Crooked Arch

Before and After Image of Lerner & Lemongello
Before and After Image of Lerner & Lemongello

Crooked Teeth / ā€œVā€ Shaped Arch

Before and After Image of Lerner & Lemongello
Before and After Image of Lerner & Lemongello

Crowded Teeth

Before and After Image of Lerner & Lemongello
Before and After Image of Lerner & Lemongello

Anterior Crossbite

Before and After Image of Lerner & Lemongello
Before and After Image of Lerner & Lemongello

Spacing & Crowding

Before and After Image of Lerner & Lemongello
Before and After Image of Lerner & Lemongello

Crooked Teeth

Before and After Image of Lerner & Lemongello
Before and After Image of Lerner & Lemongello

Crowded Crooked Teeth

Before and After Image of Lerner & Lemongello
Before and After Image of Lerner & Lemongello

ā€œVā€ Shaped Crossbite

Before and After Image of Lerner & Lemongello
Before and After Image of Lerner & Lemongello

Rotated Crooked Teeth

Before and After Image of Lerner & Lemongello
Before and After Image of Lerner & Lemongello

Rotated Crooked Teeth

Before and After Image of Lerner & Lemongello
Before and After Image of Lerner & Lemongello